Can Lung Cancer Be Mistaken For Chest Infection / What S The Difference Between Walking Pneumonia And Regular Pneumonia Health Essentials From Cleveland Clinic / They can be a sign of lung cancer, however.
Dapatkan link
Facebook
X
Pinterest
Email
Aplikasi Lainnya
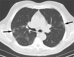
Can Lung Cancer Be Mistaken For Chest Infection / What S The Difference Between Walking Pneumonia And Regular Pneumonia Health Essentials From Cleveland Clinic / They can be a sign of lung cancer, however.. The only way to know the diagnosis is to sample the lesion: Lung cancer can also increase the risk of pneumonia by weakening the immune system. They can be a sign of lung cancer, however. The cancerous tumor (s) cause a decrease in normal lung cell functioning, which can block the airways of the lungs leading conditions susceptible to infections. The nhs explains that this condition is an infection of the lungs or large airways.
4, 5, 16, 17 of the patients with a history of nsclc, patients with a history of these 3 fungal infections from january 1, 2007, to may 1, 2020, were identified in starr using the addition of the following criterion. However, the symptoms of lung cancer differ vastly from bronchitis which is one of the commonest affections of chronic smokers. They can be a sign of lung cancer, however. In addition, it isn't unusual for an infection to develop around a lung tumor, and the resulting pneumonia may obscure an underlying tumor. Cancer was the furthest thing from my mind, but lung cancer, i just couldn't believe it. she was only 39, she wasn't a smoker, she ate healthy, ran, and did yoga.
Pneumonia And Coronavirus Does Everyone With Covid 19 Get Pneumonia from img.webmd.com 1) infections with tb and other bacteria, 2) exposure to toxic and/or allergenic substances such as asbestos, 3) pulmonary fibrosis, and 4) autoimmune diseases like sarcoidosis. Aspergillosis, cryptococcosis, and mucormycosis are the most common opportunistic fungal infections that can mimic lung cancer. In addition, it isn't unusual for an infection to develop around a lung tumor, and the resulting pneumonia may obscure an underlying tumor. However, herrera says, if you. Common things are common ,pneumonia is lot common than lung cancer ,get an xray in 6 weeks it should clear up by then. Biopsy by surgery, bronchoscopy, or needle biopsy directed by a ct. 4, 5, 16, 17 of the patients with a history of nsclc, patients with a history of these 3 fungal infections from january 1, 2007, to may 1, 2020, were identified in starr using the addition of the following criterion. However, the symptoms of lung cancer differ vastly from bronchitis which is one of the commonest affections of chronic smokers.
Patients with lung cancer are also susceptible to infection, which can be present at the time of cancer diagnosis, complicate the treatment course, and result in death.
Repeated respiratory infections, such as bronchitis or pneumonia, can be a sign of lung cancer. Furthermore, lung cancer symptoms, such as a persistent cough, back pain or weight loss, can resemble a cold or bronchitis and may not raise suspicions of lung cancer. Or, you might have a chest infection that doesn't get better with treatment. In addition, it isn't unusual for an infection to develop around a lung tumor, and the resulting pneumonia may obscure an underlying tumor. Lung cancer is a common cause of finger clubbing; Clinical and epidemiologic studies have suggested a strong associati … However, it can occur in other heart and lung diseases. Despite the importance of all the causes mentioned by the authors, we would like to emphasize the relevance of fungal infections as an important cause of pulmonary nodules and masses that can mimic lung. Pneumonia in people with lung cancer. The cancerous tumor (s) cause a decrease in normal lung cell functioning, which can block the airways of the lungs leading conditions susceptible to infections. However, the symptoms of lung cancer differ vastly from bronchitis which is one of the commonest affections of chronic smokers. Lung cancer most often spreads to the liver, the adrenal glands, the bones, and the brain. The test they may be considering is a pet scan.
When helen began coughing up phlegm in january she thought she just had a chest infection. Common things are common ,pneumonia is lot common than lung cancer ,get an xray in 6 weeks it should clear up by then. Biopsy by surgery, bronchoscopy, or needle biopsy directed by a ct. However, herrera says, if you. Moreover, a lung infection further compromises the ability of the lungs to function properly.
This Woman Thought She Had Pneumonia But Had Lung Cancer Health Com from imagesvc.meredithcorp.io Lung cancer can also increase the risk of pneumonia by weakening the immune system. Lung cancer is the last thing a doctor thinks to look for in young, nonsmoking women, says gerold bepler, m.d., director of the comprehensive lung cancer research center at the moffitt cancer. Biopsy by surgery, bronchoscopy, or needle biopsy directed by a ct. In this article they describe a variety of pulmonary conditions that can present with imaging features mimicking those of primary lung cancers. The test they may be considering is a pet scan. In these cases, there is, in actuality, an infection in the body, but a cancer is the real, deeper culprit. Moreover, a lung infection further compromises the ability of the lungs to function properly. Or by inserting a tube through the chest wall to drain infection (thoracostomy).
One symptom of lung cancer, pointed out by the charity, is a recurring chest infection.
According to roy castle lung cancer foundation (rclcf), a telltale sign your chest infection is cancerous is whether it persists. Lung cancer is an uncontrolled and uncoordinated overgrowth of the lung tissue. In this article they describe a variety of pulmonary conditions that can present with imaging features mimicking those of primary lung cancers. Cancer was the furthest thing from my mind, but lung cancer, i just couldn't believe it. she was only 39, she wasn't a smoker, she ate healthy, ran, and did yoga. This article is more than 7 months old. They can be a sign of lung cancer, however. Lung cancer can also increase the risk of pneumonia by weakening the immune system. Aspergillosis, cryptococcosis, and mucormycosis are the most common opportunistic fungal infections that can mimic lung cancer. Lung cancer cases could be mistaken for covid, charities warn. The test they may be considering is a pet scan. Common things are common ,pneumonia is lot common than lung cancer ,get an xray in 6 weeks it should clear up by then. However, it can occur in other heart and lung diseases. Thank you for all your posts.
When helen began coughing up phlegm in january she thought she just had a chest infection. They can be a sign of lung cancer, however. Thank you for all your posts. Moreover, a lung infection further compromises the ability of the lungs to function properly. Secondly, can a lung abscess be mistaken for cancer?
Lung Cancer Pictures Ct Scan X Ray And More from post.healthline.com A chest infection is a. However, the symptoms of lung cancer differ vastly from bronchitis which is one of the commonest affections of chronic smokers. The test they may be considering is a pet scan. Lung cancer is an uncontrolled and uncoordinated overgrowth of the lung tissue. Pneumonia and lung cancer both occur in the lungs and share several overlapping symptoms. Thank you for all your posts. 1) infections with tb and other bacteria, 2) exposure to toxic and/or allergenic substances such as asbestos, 3) pulmonary fibrosis, and 4) autoimmune diseases like sarcoidosis. Lung cancer can also increase the risk of pneumonia by weakening the immune system.
Secondly, can a lung abscess be mistaken for cancer?
The test they may be considering is a pet scan. About 30% to 40% of people with lung cancer have some symptoms or signs of metastatic disease. 4, 5, 16, 17 of the patients with a history of nsclc, patients with a history of these 3 fungal infections from january 1, 2007, to may 1, 2020, were identified in starr using the addition of the following criterion. Or by inserting a tube through the chest wall to drain infection (thoracostomy). Send thanks to the doctor. Or, you might have a chest infection that doesn't get better with treatment. According to roy castle lung cancer foundation (rclcf), a telltale sign your chest infection is cancerous is whether it persists. However, herrera says, if you. The cancer can happen in any part of the lung tissue. The cancerous tumor (s) cause a decrease in normal lung cell functioning, which can block the airways of the lungs leading conditions susceptible to infections. Pneumonia and lung cancer both occur in the lungs and share several overlapping symptoms. However, the symptoms of lung cancer differ vastly from bronchitis which is one of the commonest affections of chronic smokers. If a chest tube is inserted, drugs can be injected into the space around the lungs to break down the divisions.
Is 2021 A Good Year For Pisces - Pisces Yearly Horoscope 2021 Horoscope Overview For Pisces / These are general predictions for pisces for 2021. . You seniors may be happy with your performance. Natives would have a better understanding of their current standing and the way they have to go to reach spiritual and personal upliftment. Summary/preview of the year ahead for the zodiac sign pisces. You made it through the disaster that was 2020. You may get favorable results of your hard work and may get the reward for the same in form of appreciation or promotion. Your pisces horoscope 2021 predicts a year of cocooning which could sound quite boring. Will be a time period will be full of events. In 2021, the pisces will have a tremendous fortune in love, although they won't realize it from the beginning. Your team and subordinates will help you to take tough calls in the business, you will be able to complete your order in the time frame. Take a rest, pisces…no wait,...
Dates For Cancers / Zodiac Signs Months And Dates / The most positive dates for cancer season. . Breast cancer ribbon images : In order to get the ball rolling, you'll need to give it a push first. Best of all, you don't even need to pay a penny at the cancer dating site, it's all free! With longer days, there are some benefits to slowing down—spend time sunbathing. Similarly, cancer and gemini can make it work in the short term. World cancer day is a global observance that helps raise people's awareness of cancer and how to prevent, detect, or treat it. Almost any part of the body can be affected. Pisces cancer worst compatibility match*: Ruled by moon, it is a water sign. The goal date set by the fda for announcing its decision on a company's new drug application/ biologics license application/sbla/snda after reviewing the. Zodiac Signs Months And Dates from brid...
About Star Cancer In Urdu - Cancer Woman And Libra Man Love Compatibility Ask Oracle : Cancer star information in urdu 2020 برج سرطان کی معلومات, cancer personality, love life,. . How do you say whatever in urdu? Staging may not be complete until all of these tests are finished. Patriotism can make them endanger their own wellbeing, fighting for someone else's cause, as if others can become their higher power. Cancer star sign qualities, love & personality in urdu | cancer zodiac sign horoscope 2020 in this video we discussed in detail. Cancer january 2020 tarot reading in urdu hindi (love and career) tarot reading in urdu for personal reading email Information about cancer personality & zodiac sign details. People born under the star sign cancer will display personality traits that range from the sweet and loyal, to the petulant and resentful. It spans from 90° to 120° celestial longitude. Translation is sartan and cancer synonym words crab. Cancer janua...
Komentar
Posting Komentar